본문으로 건너뛰기
Search for:
실시간 검색어
추천 검색어

메뉴

  • 질병 목록

  • 사례
  • 논문
  • 영상
  • Topic
  • 공지사항
  • 커뮤니티
  • 정기구독

질병

0의료 경영
1골절, 외상
2척추Spine
3상지Upper Extremities
4하지Lower Extremities
5소아근골격계pediatrics
6통증의학
내과

카테고리

질병 목록

인기 검색어

    • 0의료 경영
            • 1골절, 외상
                • 2척추Spine
                      • 3상지Upper Extremities
                            • 4하지Lower Extremities
                                  • 5소아근골격계pediatrics
                                    • 6통증의학
                                          • 내과
                                            • 사례
                                            • 논문
                                            • 영상
                                            • Topic
                                            • 공지사항
                                            • 커뮤니티
                                            • 정기구독

                                            3상지Upper Extremities

                                            상지Upper Extremities

                                            정렬:
                                            등록순 ▼ 제목순 조회수순
                                            [doctormodu]1 lichtman classification - lunate AVN

                                            07 월상골 무혈 괴사(Lunate AVN) Kienbock’s disease

                                            닥터모두
                                            닥터모두
                                            3 손목, 손3상지Upper Extremities
                                            2025.10.06
                                            6
                                            #11
                                            [doctormodu]1 스키무지 skiers-thumb

                                            06 스키무지(skier’s thumb) ulnar collateral ligament injury

                                            닥터모두
                                            닥터모두
                                            3 손목, 손3상지Upper Extremities
                                            2025.10.06
                                            2
                                            #12
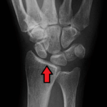
                                            [doctormodu] Terry thomas sign

                                            05 주상월상해리 Terry Thomas sign

                                            닥터모두
                                            닥터모두
                                            3 손목, 손3상지Upper Extremities
                                            2025.10.06
                                            2
                                            #13
                                            [doctormodu]1 hand OA

                                            04 손가락 관절염 hand OA

                                            닥터모두
                                            닥터모두
                                            3 손목, 손3상지Upper Extremities
                                            2025.10.06
                                            7
                                            #14
                                            [doctormodu]2 CMC arthritis X ray

                                            03 CMC joint arthritis

                                            닥터모두
                                            닥터모두
                                            3 손목, 손3상지Upper Extremities
                                            2025.10.06
                                            3
                                            #15
                                            [doctormodu]1 손목건초염 patho

                                            02 손목 건초염(드꿰르벵 병) De quervain’s disease

                                            닥터모두
                                            닥터모두
                                            3 손목, 손3상지Upper Extremities
                                            2025.10.06
                                            3
                                            #16

                                            01 손목 염좌 wrist sprain

                                            닥터모두
                                            닥터모두
                                            3 손목, 손3상지Upper Extremities
                                            2025.10.06
                                            3
                                            #17
                                            [doctormodu]1 pulled elbow reduction.

                                            12 팔꿈치 아탈구(pulled elbow) radial head subluxation

                                            닥터모두
                                            닥터모두
                                            2 팔꿈치3상지Upper Extremities
                                            2025.10.04
                                            6
                                            #18
                                            [doctormodu]1 cubitus varus-carrying angle 측정법

                                            11 주내반증 cubitus varus

                                            닥터모두
                                            닥터모두
                                            2 팔꿈치3상지Upper Extremities
                                            2025.10.04
                                            6
                                            #19

                                            10 impingement of elbow

                                            닥터모두
                                            닥터모두
                                            2 팔꿈치3상지Upper Extremities
                                            2025.10.04
                                            8
                                            #20
                                            이전 1 2 3 4 5 다음

                                            실시간 검색어 09:24 기준

                                            1. 신경 748회
                                            2. 혈관 631회
                                            3. 논문 629회
                                            4. 정신과 558회
                                            5. 고산병 556회
                                            6. 신경과 550회
                                            7. 외과 547회
                                            8. 정신 541회
                                            9. 당뇨병 528회
                                            10. 질병 484회

                                            사이트 통계

                                            총 질병 정보 112개
                                            총 전문가 44명
                                            총 논문 22편
                                            총 영상 29개

                                            최근 활동

                                            🏥
                                            각론template(정의 순서)

                                            2일 전

                                            🏥
                                            각론template(정의 순서)

                                            2일 전

                                            🏥
                                            08 대퇴골두 무혈성괴사 Avascular necrosis of femoral head, AVN

                                            2일 전

                                            🏥
                                            07 장골 치밀화 골염 Osteitis condensans ilii

                                            2일 전

                                            🏥
                                            06 고관절 관절염 Hip Osteoarthritis

                                            3일 전

                                            • 이용약관
                                            • 개인정보처리방침
                                            © 2025 닥터모두. All rights reserved.